Home invisaligninvisalign smile assessment
IS INVISALIGN RIGHT FOR YOU?
We provide a wide range of professional services to meet your goals and needs. We promise to provide every service with a smile and to your highest level of satisfaction.
Take this quick Smile Assessment and our team will reach out to share more about next steps.

Millions Of Smiles and Lives Have Been Transformed With The Most Advanced Aligner System In The World
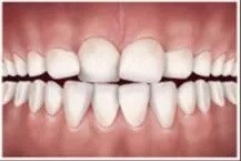
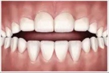
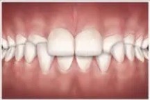
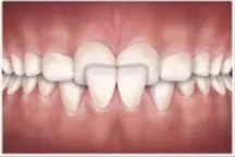
Misaligned Teeth Cause More Problems Than You May Think | What Smile Do You Have?

Crowding

open bite

cross bite (back teeth)

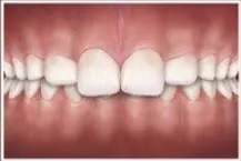
cross bite (front teeth)

overjet (protrusion)

overbite (deep bite)

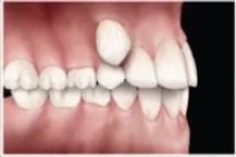
abnormal eruption

under bite
In the United State, four million people have braces at any one time with 25% of them being adults.
However, most now whether adult or teenager, do not prefer metal braces to align their teeth as it can negatively affect their self-confidence and the professional appearance they wish to portray.
With the Invisalign method, you can repair your smile without ever looking like you’ve had braces, but are you a good candidate?



